尿の通り道である腎臓・尿管・膀胱・尿道を尿路と言います。
尿の中に含まれているカルシウムやシュウ酸などが結晶化しこの尿路で結石ができることを尿路結石といいます。
- 腎臓にできるものを「腎結石」
- 尿管にできるものを「尿管結石」
- 膀胱にできるものを「膀胱結石」
と言います。
症状としては背中から腰にかけて激痛が走り、血尿を伴うことがあります。
再発が多く5年間で30〜40%と言われています。
期間を限定しなければ80~90%再発すると報告されています。
その痛み注意!激痛が起きる前に検査しましょう
5分でわかる "尿路結石"
西南泌尿器科クリニックは
日本泌尿器科学会認定:専門医教育拠点施設です。
尿路結石
腎結石
尿管結石
西南泌尿器科クリニックは
日本泌尿器科学会認定:専門医教育拠点施設です。
尿路結石
腎結石
尿管結石
「夜中に激痛で目が覚めた」「痛くて救急車で運ばれた」
結石による痛みは、人間が感じる最も強い痛みの一つとされています。
一旦起こった激痛は結石が消失するまで何度も繰り返します。そして、腎臓が腫れる状態(水腎症)となり腎不全になることがあります。
結石の患者数は、年々増え続け、40年の間に3倍に膨れ上がりました。


何よりもやっかいなのは、一度尿路結石になると80%~90%の方が再発することです。
また、生活習慣病(糖尿病、高血圧症、脂質異常症、痛風など)がある方に、多く発生します。
結石患者の40%は肥満の方であるという報告もされています。

尿の通り道である腎臓・尿管・膀胱・尿道を尿路と言います。
尿の中に含まれているカルシウムやシュウ酸などが結晶化しこの尿路で結石ができることを尿路結石といいます。
と言います。
症状としては背中から腰にかけて激痛が走り、血尿を伴うことがあります。
再発が多く5年間で30〜40%と言われています。
期間を限定しなければ80~90%再発すると報告されています。

院長:持田 蔵
どこに(結石の所在)? どの程度(大きさ何ミリ)の結石があるのか? 腎臓のダメージの程度は? 今後の見通しは?
などを迅速かつ正確に診断します。
痛い検査はありません。(血液検査が必要な場合は、針を刺す痛みが伴います)

超音波(エコー)検査
大まかな腎臓の様子(腫れていないか:水腎症)、腎臓付近の結石の有無を診ます。

レントゲン検査(KUB)
X線(レントゲン)にて結石の場所と大きさを診ます。レントゲンに写らない結石も多くあります。
※図:赤丸内の白く映っているのが結石-左腎結石

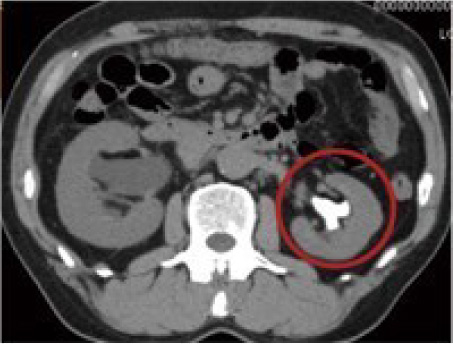
CT検査
尿路のどこに、どの程度の結石があり、それにより尿路がどのようになっているのか診る検査です。
※図:赤丸内の白く映っているのが結石-左腎結石
尿路結石のご相談は西南泌尿器科クリニックへ

尿と一緒に結石を出す(排石)治療法です。
痛み(疼痛)がある場合には、痛みを抑える治療を同時に行います。結石の成分によっては、結石のごく一部を溶かす治療も行うこともあります(尿酸結石など)。
しかしながら、溶かす治療はほとんど効果が認められない場合が多いのが現状です。
結石の大きさが径4mm以下であれば、約50%の確率で自然排石が期待できるとされています。1カ月以上自然排石できない場合は手術を考慮することとなります。

体の外から衝撃波を当て結石を割る治療です。
砕石(割れた)された結石が尿と一緒に排石されます。日帰り~数日の入院で治療可能。負担の小さい治療法です。
しかしながら、結石が固く砕石できない場合も少なくなく何度も治療を行うこととなる場合もあります。また、砕石(割れた)された結石が粉々にならず、大きな破片となり、新たに尿路に詰まってしまい激痛の原因となることもあります。
結石の場所や大きさ、硬さによっては内視鏡治療を選択したほうが効果が高い場合もあります。近年、世界的にこの方法を選択することが大きく減ってきている状況です。

内視鏡を使用した治療方法です。
尿道から細い内視鏡を入れて尿管または腎臓の結石をレーザーや空気衝撃波などの砕石装置で砕石します。数日~1週間以内の入院で治療可能。破砕された結石片は、手術中に体外に取り出すことができます。使用される内視鏡は、硬性内視鏡か軟性内視鏡のいずれかで、治療部位により選択されます。治療効果の高い手術として近年増加しています。
写真:尿管内。尿管の中にある結石:黄色3mmを鉗子でつかんでいるところ

内視鏡を使用した治療方法です。
背中に小さな穴を開け、その穴から内視鏡を入れ、腎臓の結石を砕石、取り出す治療です。入院期間は、1~2 週間程度になります。比較的大きな腎結石に対して行われることが多い手術です。破砕した結石片は、比較的短時間で体外に取り出すことができます。反面、腎臓に穴をあけるので出血のリスクもあります。
でも…再発するのが怖い…

尿路結石は治療が終わっても再発することが多いのが現状です。
しかし、しっかりと予防をすることで再発をなるべく防ぐことを心がけて生活しましょう。
予防は、知っているのと知らないのとでは、大きく違います。一人ではなかなか予防できなくとも、定期的に受診することで痛みが来る前に治療できます。
西南泌尿器科クリニック実績【日本泌尿器科学会認定:専門医教育拠点施設】
手術件数(平均):161.3件/年
尿路結石のご相談は西南泌尿器科クリニックへ
原因ははっきりわかっていませんが、男性、肥満、高血圧症のある方は発症リスクが高いことがわかっています。また、高尿酸血症(痛風など)の方はより高い発症リスクがあります。
外気温が高いとき(夏)に結石による激痛(疼痛発作)が起きやすいことがわかっています。発汗や脱水に注意ください。
明らかな責任遺伝子は同定できていません。
しかしながら、結石発生には遺伝的要素がかかわっているとの報告もあります。
親子で約6割の発症が認められています(家族歴)。このような場合は、若年発症が多く、再発も多いことがわかっています。
腎臓内の結石で10mm未満の大きさであれば治療せずに経過観察だけでよいと思われます。
しかしながら、水腎症(腎臓の腫れ)がある場合には、放置していると腎臓が悪くなります。
6割の方が再発すると言われています。再発予防として、水分摂取を多くして(2リットル/日以上)、カルシウムを多く摂り、塩分を控えた食事にすることが勧められています。
尿路結石の約60%は手術せずに自然排石します。
結石が出るまでの間は、鎮痛剤などを用いて痛みの管理を行います。1カ月経過しても結石が体外に排出されない場合は手術を行います。近年までは衝撃波で結石を割る体外衝撃波砕石術が最も多く行われていましたが、術後再発や合併症の観点より、経尿道的尿路結石砕石術が最も行われる術式となりました。

西南泌尿器科クリニック 院長:持田 蔵
西南泌尿器科クリニックは、多くの結石患者様を治療してまいりました。
まずは痛みを取り除くベストの治療法と再発を極力防ぐ予防策などご提案いたします。
すっきりと治し、楽しい日常を取り戻しましょう!
TOP